Gum graft: Gum Graft
Description
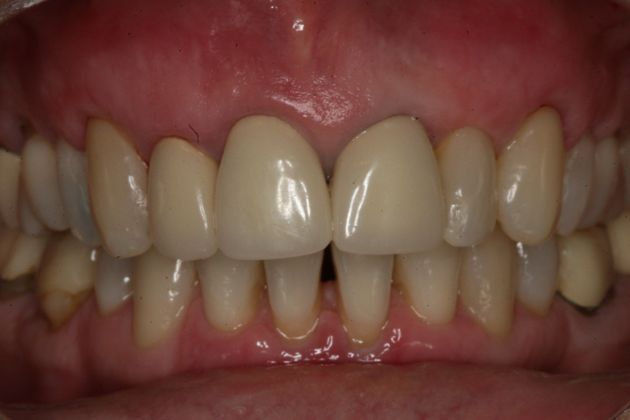
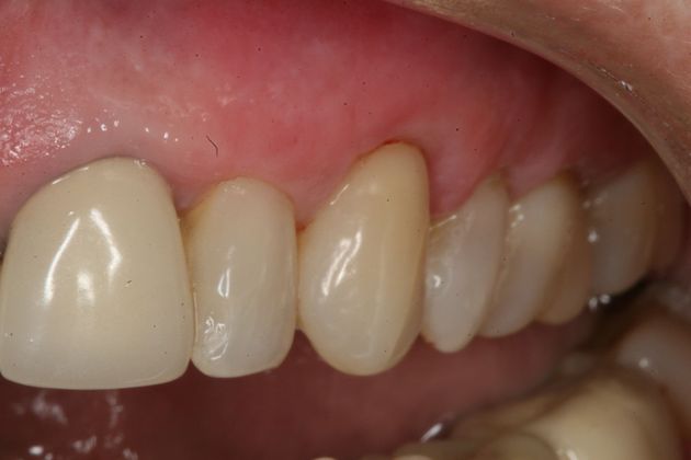
There are many reasons why someone would require a gum graft. For some it is simply for esthetics while for others it is to protect the bone supporting the tooth or implant. This is a case of concern of the architecture of her smile. She seems when she does smile the roots of the teeth which has an effect on the design of the smile. At SmileMontreal there are various ways to achioeve coverage of the root. We proceeded with an alloderm graft which is placed over those roots while using platelet plasma to accelerate healing and increase comfort. This is a very modern way to do gingival grafting that is used at our montreal dental office. This procedure is done with little to no discomfort.




