Dentist Montreal
Enhancing Montreal’s Smiles
For More Than 50 Years
- Modern technology
- Comprehensive care
- Flexible financing
En Français - Pour accéder ce site en français, cliquez ici.
Reach Out To Experience the Difference Yourself

Our Westmount dental practice has provided general and cosmetic dentistry treatment for more than 50 years. At Smile Montreal, we make no compromise when it comes to the health, comfort, and satisfaction of our patients.
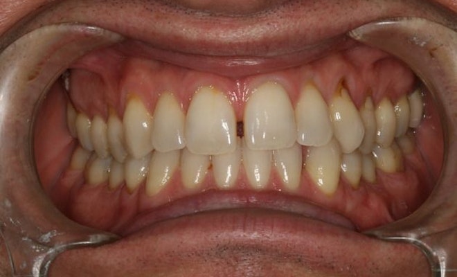
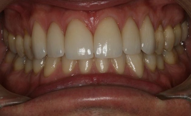
If your teeth are damaged, discolored, or misshapen, your smile can be transformed with cosmetic dentistry. Our dentists can restore the health of your smile with reconstructive dentistry. For patients who experience headaches or pain in the jaw or neck, we offer neuromuscular diagnosis and treatment. We also offer general dentistry services and were one of the first practices in Montreal to emphasize preventative dental care.
Drs. Charles and Patrick Casey look forward to seeing you whether you're a new patient or someone who's been coming to our dental clinic in Westmount for many years. Give us a call to get started:
Patients Recommend Us
“I recently visited Smile Montreal for a specialized gum surgery called the pinhole surgical technique. This procedure isn't widely available, so I was very pleased to find a clinic that offered it. The clinic was very clean and well-maintained. The staff were exceptionally friendly and welcoming, which helped ease any pre-surgery anxieties. Their clean environment, friendly staff, and respect for appointment times make them an excellent choice.”
— v, 5-Star Review
Welcome to Smile Montreal
The team at Smile Montreal offers comprehensive dental care performed with a special emphasis on comfort and safety. We stay up to date with developments in the field of dentistry through continuing education courses. Our dental office features modern technology, and our dentists use the latest dentistry techniques to improve and maintain the oral health of your entire family.
Memberships and Affiliations
Patients Appreciate Our Practice
“Smile Montreal has completely changed how I see dental visits. Their modern facilities and advanced technology ensure top-notch care.”
– Neal, 5-Star Review
Other Benefits of Our Tech
- Same-Day Restorations: In some cases, we can provide same-day crowns and other restorations using digital impressions and computer-guided milling tools.
- Precise Dental Implant Placement: We use surgical guides to minimize the risks of dental implant surgery.
We Use Surgically Clean Air
Smile Montreal uses Surgically Clean Air to ensure the health and safety of our patients and staff.
Surgically Clean Air is a multi-stage air purification system that cleans the air circulating through indoor spaces. The six-stage filtration system captures pollen, dust, mold, allergens, and many other pollutants. The negative ion generator helps indoor air feel more refreshed and re-energized. Surgically Clean Air does all this without generating loud or intrusive noise.
Call (514) 937-6558 or contact our dental clinic to schedule an appointment today!
What Our Patients Are Saying
“I’ve been going to Dr P Casey for the last five years! Great service! I have never felt this comfortable at the doctors office.”
– Manuela, 5-Star Review
Our Complete Dental Treatments and Services
Imagine Enjoying Your Dental Visits!
“Professional, thorough, friendly. Wish I had switch to Dr Casey, years ago!” – Aaron, 5-Star Review










