
Dentures
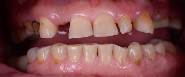
Missing teeth can have a significant negative impact on your life, making it difficult to chew, eat, and speak with confidence.
Dr. Patrick Casey can treat patients with multiple missing teeth using lifelike custom dentures at Smile Montreal, QC.
Find out how our experienced dentist can help you regain the function and appearance of your smile...
Benefits of Dentures
Restore Multiple Types of Tooth Loss
For patients with three or more missing natural teeth in a row, or missing teeth in different areas of your smile, the dentist can treat you with a partial denture. If you are missing all of your natural teeth, we can provide complete dentures for both arches.
Address Complex Issues
If you have severely broken or infected teeth and require extractions, dentures are a great option to restore functionality to your smile. The dentist may also recommend replacing loose or shifting teeth with dentures to address oral health concerns and allow you to eat and speak normally again.
Enhance Your Appearance
Many people feel self-conscious about their missing teeth. Dentures will fill those gaps in your smile, allowing you to feel confident once again. The restorations are designed to look completely natural and will fill out a sunken facial appearance so you look much younger and healthier.
Prevent Jaw Recession
Some patients opt to secure their restorations with dental implants. Implants will prevent the jawbone recession that results from tooth loss and your restoration will never slip or slide out of place.
How Partial Dentures Fit into Your Smile
Weighing the Benefits of Traditional vs. Implant Dentures
Traditional Dentures
Traditional removable dentures are typically the most affordable replacement option. Some of our patients worry that traditional dentures might not look as lifelike but advances in dentistry allow us to craft a prosthesis with a precise fit that looks and feels like your natural teeth. Fabricated from acrylic, porcelain, or zirconia, conventional dentures can dramatically improve the appearance and function of your smile. With proper care, they can last approximately five to 10 years.Implant-Supported Dentures
Many patients prefer implant-supported dentures for their stability and durability. Not everyone is a good candidate for implants, though we can provide additional treatments to improve your eligibility. Patients need strong bone tissue in the jaw and good overall oral health to support implants. The dentist may recommend a bone graft to restore lost tissue if you have experienced jaw recession. While your prosthetics may need occasional adjustments, dental implants can last a lifetime with careful maintenance. Though an implant-supported denture generally costs more than its traditional counterpart, many patients find dental implants to be worth the investment for their convenience and superior aesthetics.
See the Difference...

Trusted Dentist for Quality Restorations
If you are suffering from tooth loss and would like to explore your replacement options, look no further than Smile Montreal, QC. Our general dentist, Dr. Patrick Casey, has experience in cosmetic and restorative dentistry and uses the latest techniques to provide patients with first-class treatment.
If you are in need of a partial or full denture, you are not alone. Nearly one in five adults over 65 have lost all their teeth. While tooth loss is a common issue, we understand your needs and concerns are unique and work hard to develop personalized treatment plans. Our trusted dentist and staff can provide you with restorations that will improve your quality of life and enhance your smile. Don't wait. Schedule an appointment today online or call our office at:

Restaurer Votre Sourire Avec un Pont Dentaire
Traditional Denture Treatment
If you receive a traditional denture from Smile Montreal Dentistry, the treatment process will include:
"A skilled restoration specialist will craft your custom denture using the highest quality dental materials."
To Learn More about Implant-Supported Dentures...
Please visit our informational page for a closer look at the procedure.
The Best Time to Prioritize Your Dental Health Is Right Now
Tooth loss can make you feel separated from the rest of the world. Not only does this problem make it harder to communicate, but it can rob you of a smile that you feel confident in. Missing teeth can also make eating difficult. As time has passed, you may have felt discouraged, thinking that your window for a happy, healthy smile has closed.
However, there's no better time than the present to put your oral health first. Dentures from Smile Montreal can improve your wellness and self-esteem.
Contact our Montreal, Quebec, office to learn about your exciting options or call:
(514) 937-6558

Dentures Can Prevent Premature Aging Achieve a More Youthful Appearance
Certain kinds of dentures can give structure to your face, preventing bone recession. This can minimize or stop the effects of premature aging caused by tooth loss. Common issues associated with extensive tooth loss include:
- Hollowness of the face and cheeks
- Shifting teeth that create additional gaps
- Bone loss in the jaw causing facial structure to sink
- Formation of jowls or increased jowl prominence
After you lose your natural teeth, you may think your smile will never return. See firsthand how our patients have found brilliant new smiles...
The Dental Transformation Dentures Can Provide
Patients who experience missing teeth and gum problems may feel discouraged by changes in their smile. However, you can once again enjoy a set of natural-looking teeth with dentures from Smile Montreal in Montreal, Quebec. Our dentist can offer more information about your options, such as full dentures and implant-supported dentures.




